Jak vypadá zubní kámen a jak ho poznat na první pohled

Jak vypadá zubní kámen a jak ho poznat na první pohled bře, 16 2026

Uvědomujete si, že ten hnědý nebo žlutý nálev na zubech není jenom „špína“, kterou jste zapomněli očistit? To je zubní kámen. A nejde o něco, co se dá jednoduše vyčistit četnějším čištěním. Když se plak neodstraní včas, ztuhne. A to je přesně ten zubní kámen, který se zhruba za 10-14 dní přemění z měkkého filmu na tvrdou, neodstranitelnou vrstvu.

Co vlastně zubní kámen vypadá?

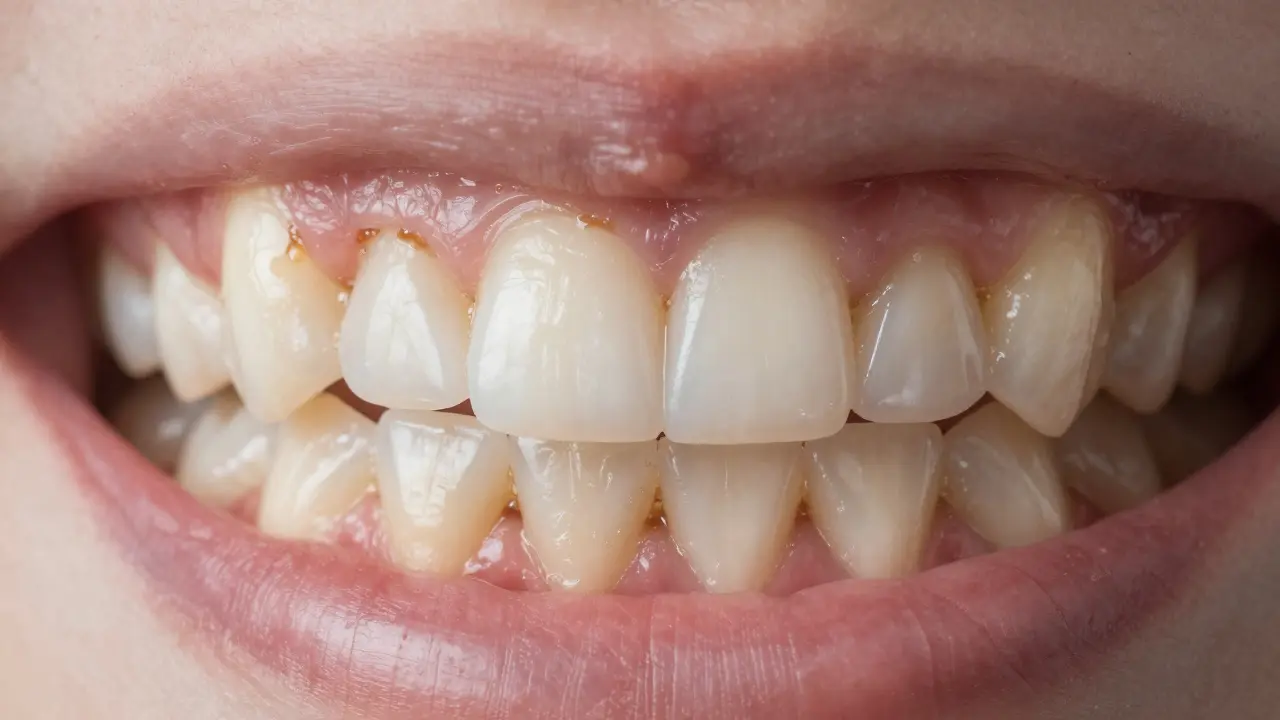
Zubní kámen je v podstatě vápenitá kůra, která se vytváří na povrchu zubů, hlavně u základny, poblíž dásní. Vypadá jako šedý, žlutý nebo dokonce hnědý nálev. Někdy je tenký a téměř neviditelný, ale často se hromadí do větších hromádek - obzvláště u zubů dolní čelisti, u těch, které se dotýkají jazyka. U některých lidí se objevuje i mezi zuby, kde je těžké se dostat kartáčkem.

Pokud se podíváte na zuby ve zrcadle při dobrém osvětlení, můžete si všimnout, že tyto „skvrny“ nejsou jen na povrchu. Jsou přilepené. A neodstraníte je ani silnějším čištěním. Když se kámen ztuhl, už ho jen tak neodstraníte. To je důvod, proč ho musí odstranit zubař - pomocí speciálních nástrojů, které rozbíjejí a odstraňují tento vápenitý povlak.

Proč se zubní kámen tvoří?

Zubní kámen nevzniká z ničeho. Vše začíná plakem - tenkou, lepkavou vrstvou bakterií, která se vytváří na zubech každý den. Když jí neodstraníte čištěním, plak začíná reagovat s minerály ve slinách - hlavně vápníkem a fosforem. Tyto minerály se usazují na plaku a ztuhují. Je to jako když se na nádobě od vody vysráží kámen - jenže to se děje uvnitř vaší úst.

Největší riziko máte, pokud:

  • čistíte zuby jen jednou denně
  • používáte jen kartáček a nečistíte mezizubní prostory
  • často pijete sladké nápoje nebo jíte sladké jídlo
  • mate se zubním kamenem už dlouho a nejste u zubaře

Neznamená to, že když jste perfektní čistič, budete mít kámen. Ale i ti, kdo čistí zuby dva krát denně, mohou mít kámen - protože některé oblasti jsou těžko dostupné. A to je přesně ten moment, kdy se začíná problém.

Co se stane, když zubní kámen neodstraníte?

Zubní kámen není jen estetický problém. Je to hnízdo bakterií. A ty se začnou pronikat pod dásně. To způsobuje:

  • červené, zánětlivé dásně - které krvácejí při čištění
  • zápach z úst, který nezmizí ani po vysání
  • uvolňování zubů - protože kámen drží bakterie blízko kořenů
  • ztrátu zubů - v nejhorším případě

Podle studie z European Journal of Oral Sciences z roku 2023 má 78 % dospělých ve věku 35-55 let nějaký stupeň zubního kamene. A většina z nich si toho vůbec nevšimne, dokud nezačnou dásně krvácet.

Přeměna měkkého plaku na tvrdý zubní kámen v průběhu času

Jak zubní kámen poznat?

Nejlepší způsob, jak poznat, že máte zubní kámen, je porovnat to, co vidíte ve zrcadle, s tím, co vypadá u lidí bez kamenů.

Zubní kámen má tyto znaky:

  • není bílý - je šedý, žlutý nebo hnědý
  • je pevný - neodstraníte ho kartáčkem ani nití
  • je přilehlý - nejde o nálev, ale o vrstvu, která je „přivařená“ k zubu
  • je často u základny zubů - hlavně u dolních předních zubů
  • může se vyskytovat i mezi zuby - tam, kde je těžké se dostat kartáčkem

Nejčastější místo, kde se kámen objevuje, je u spodních předních zubů - tam, kde vylučuje slina. To je jako „přírodní plocha“ pro usazování minerálů. Pokud tam vidíte tenký, téměř bílý nálev - to je plak. Pokud tam vidíte hrubší, žlutý nebo hnědý nálev - to je kámen.

Co dělat, když máte zubní kámen?

Neexistuje domácí lék na zubní kámen. Žádná pasta, žádný záliv, žádný domácí prostředek ho neodstraní. Když se ztuhl, musíte jít k zubaři.

Zubař použije ultrazvukový nástroj - ten vydává vibrace, které rozbíjejí kámen bez poškození zubu. Potom odstraní zbytky a vyhladí povrch. Někdy je potřeba i vyčistit dásně - pokud už je kámen pod nimi. To se nazývá „skalpelování“ a je to běžná, bezbolestná procedura.

Po odstranění kamenů se vám zubař poradí, jak se vyhnout opakování. Doporučí:

  • čištění dvakrát denně - s fluoridovou pastou
  • používání mezizubních kartáčků nebo niti
  • vyhýbání se sladkým nápojům, zejména před spaním
  • pravidelné návštěvy zubaře každých 6-12 měsíců

Nejlepší věc, kterou můžete dělat, je jít na preventivní prohlídku. Nečekejte, až vás bolejí zuby. Když jde o zubní kámen, čím dříve ho odstraníte, tím méně poškození způsobíte.

Zubní lékař odstraňuje zubní kámen ultrazvukovým nástrojem

Je možné zubní kámen předcházet?

Ano. Ale ne úplně. Plak se vytváří u každého. Ale kámen - ne. Kámen vzniká jen, když plak zůstává na zubech příliš dlouho.

Nejúčinnější způsob, jak zabránit kameni:

  1. Čistěte zuby alespoň dvakrát denně - ráno a večer. Nepoužívejte jen kartáček. Přidejte mezizubní kartáček nebo nit.
  2. Používejte pastu s fluoridem. Fluorid posiluje sklovinu a zpomaluje tvorbu plaku.
  3. Pijte vodu místo sladkých nápojů. Sladké nápoje - ať už jsou to limonády, čaj nebo ovocné šťávy - zvyšují kyselost v ústech a podporují růst bakterií.
  4. Navštěvujte zubaře každých 6-12 měsíců. I když nic nebolejí. Zubař to uvidí dřív než vy.

Některé osoby mají vysoké riziko - například ti, kdo mají suché ústa, užívají léky, které omezují slinění, nebo nosí ortodonční zařízení. Ti by měli jít na prohlídku každých 4-6 měsíců.

Co dělat, když už máte kámen a nejste u zubaře?

Neměňte si domácí prostředky. Nezkoušejte odstraňovat kámen nástroji z internetu, špachtlemi, nebo jinými předměty. To může poškodit zub nebo dásně - a pak bude léčba drahá a bolestivá.

Nejlepší, co můžete dělat, je:

  • zvýšit četnost čištění - dva krát denně, s nití
  • vyhýbat se sladkému a kyselému
  • pláchnout ústa vodou po jídle
  • plánovat návštěvu zubaře co nejdříve

Nejde o to, jak moc se čistíte. Jde o to, že kámen se neodstraní doma. A každý den, kdy ho necháte, se zhoršuje stav dásní.

Může zubní kámen zmizet sám?

Ne. Zubní kámen je tvrdá, vápenitá vrstva, která se vytváří na zubech, když se plak neodstraní. Když se ztuhl, už ho neodstraníte čištěním, ani silnější pastou. Jediný způsob, jak ho odstranit, je profesionální čištění u zubaře.

Je zubní kámen stejný jako plak?

Ne. Plak je měkká, lepkavá vrstva bakterií, která se vytváří denně. Když ji neodstraníte, začne reagovat s minerály ve slinách a ztuhne. Až ztuhne - je to zubní kámen. Plak je základ, kámen je jeho tvrdý výsledek.

Může zubní kámen způsobit zápach z úst?

Ano. Kámen je hnízdo bakterií, které se hromadí pod dásněmi a mezi zuby. Tyto bakterie produkují pachové látky, které způsobují trvalý zápach. Dokonce i když čistíte zuby, zápach zůstane - protože kámen ho „zachycuje“.

Je zubní kámen nebezpečný pro zdraví?

Ano. Kámen podporuje záněty dásní, což může vést k parodontitidě - onemocnění, které způsobuje ztrátu kosti kolem zubů. V důsledku můžete ztratit zuby. Studie ukazují, že lidé s neodstraněným kamenem mají 3x vyšší riziko ztráty zubů než ti, kteří ho pravidelně odstraňují.

Je možné zubní kámen odstranit doma pomocí pasty?

Ne. I když některé pasty tvrdí, že „odstraňují kámen“, ve skutečnosti odstraňují jen povrchový plak. Kámen je přilehlý a tvrdý - jeho odstranění vyžaduje speciální nástroje, které má jen zubař. Domácí prostředky nejsou účinné a mohou poškodit zubní sklovinu.