Co nejlepší bělí zuby? Nejúčinnější metody a co se vyplatí dělat doma
Co nejlepší bělí zuby? Zjisti, která metoda - bělení u zubaře, pršky nebo pasty - je pro tebe nejúčinnější a bezpečná. Všechny důležité informace bez marketingového šumu.
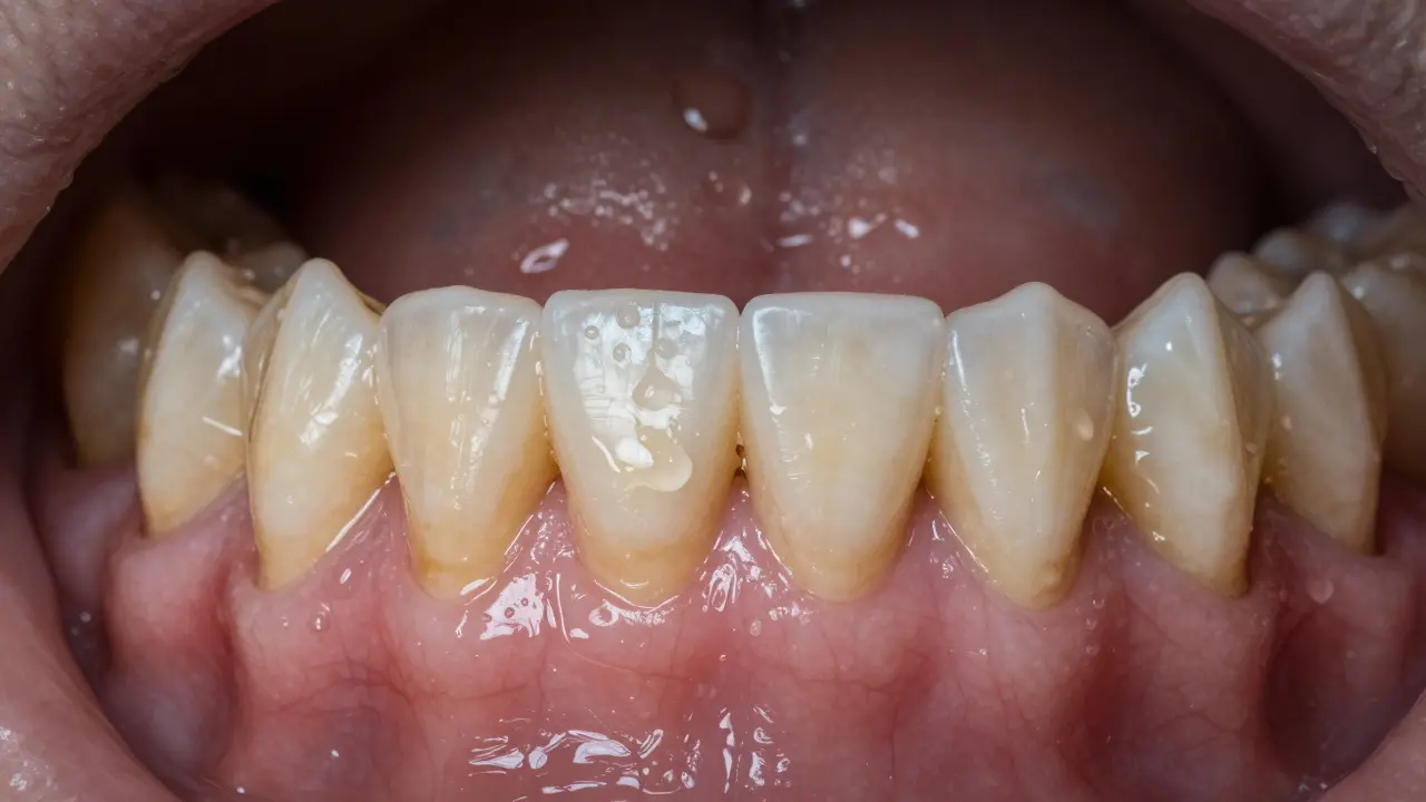
Chcete mít úsměv, který nepřestane lidi okouzlovat, a zároveň se vyhnout bolestivým návštěvám zubaře? Stačí pár jednoduchých kroků, které můžete začlenit hned teď. Na našem webu najdete vše od základních hygienických rutin až po moderní estetické zákroky.
Čistěte si zuby dvakrát denně, ideálně ráno a večer, po dobu dvou minut. Používejte zubní kartáček s měkkými štětinami a pastu obsahující fluorid. Nezapomeňte na mezizubní nit – odstraňuje plak tam, kde kartáček nedosáhne. Klíčovým doplňkem je i ústní voda: pomáhá snižovat bakterie a osvěžuje dech. Pokud cítíte citlivost, vyzkoušejte zubní pastu pro citlivé zuby a postupně zvyšujte četnost výplachů.
Pro bílý úsměv máte několik možností. Domácí bělení s přírodními ingrediencemi funguje, ale výsledky jsou mírnější. Komerční systémy – sady na bělení nebo profesionální bělení u zubaře – přinášejí rychlejší efekt. Pokud chcete trvalou změnu, podívejte se na zubní fazety nebo implantáty. Fazety skryjí nepravidelnosti, zatímco implantáty nahrazují chybějící zuby a obnovují silu čelistu. Na našem webu najdete podrobné srovnání, rady, co očekávat během zákroku a jak po něm pečovat.
Prozkoumejte další články, vyberte si téma, které vás zajímá, a udělejte první krok k zdravějšímu úsměvu už dnes.
Co nejlepší bělí zuby? Zjisti, která metoda - bělení u zubaře, pršky nebo pasty - je pro tebe nejúčinnější a bezpečná. Všechny důležité informace bez marketingového šumu.
Zničená sklovinu nebojí se bolesti - a proto ji často ignorujeme. Příznaky jsou tiché: skvrny, citlivost, dírky. Pokud je zachytíte včas, můžete zub zachránit bez implantátu. Jak poznat, že sklovinu už není v pořádku?
Zničená sklovinu může být příčinou citlivosti zubů i rozpadu. Naučte se rozpoznat příznaky, co ji způsobuje a jak ji zastavit, aniž byste museli dělat drahé rekonstrukce.
Dentální zrcátko je jednoduchý nástroj, který vám pomůže detekovat problémy s korunkami a můstky ještě předtím, než začnou bolet. Stačí jednou za týden podívat se do úst a hledat černé čáry, mezery nebo nepravidelnosti. Tím ušetříte čas, peníze a bolest.
Zánět zubů nemusí znamenat antibiotika. Zjistěte, jak ho přirozeně léčit pomocí solného proplachu, česnku, propolisu a správné hygieny - bez rizika a vedlejších účinků.
Fazety na zuby jsou tenké keramické vrstvy, které změní vzhled vašich zubů bez invazivní léčby. Zjistěte, jak probíhá jejich výroba, instalace a jak dlouho vydrží. Všechny kroky od diagnostiky po trvalý výsledek.
Korunka na přední zuby v roce 2026 stojí mezi 5 000 a 18 000 Kč. Záleží na materiálu, kvalitě výroby a zkušenosti stomatologa. Keramické korunky jsou nejčastější volbou - přirozené, trvanlivé a bezpečné. Zjistěte, co je v ceně zahrnuto a jak se liší od fazet.
Prasklá zubní sklovina může vést k bolesti a ztrátě zubu, i když není vidět. Zjistěte, co ji způsobuje, jak ji poznat a jak ji včas léčit, abyste vyhnuli dražšímu zákroku.
Křivé zuby nejsou jen estetický problém - mohou vést k bolestem, ztrátě zubů a problémům s dýcháním. Zjistěte, co potřebují zuby opravdu, jak funguje ortodontie a jak se vyhnout běžným chybám.
Zjistěte, kolik kořenů mají různé typy zubů a proč je to důležité při léčbě kořenových kanálků. Víte, že moláry mohou mít až tři kořeny? Zde je přehled, co vás čeká při léčbě a jak se vyhnout selhání.